智齿是非常折磨人的一颗牙齿,经常在高中生大学生等人群中出现,这个年龄段刚好是智齿长出来的年龄段,许多人被智齿折磨得死去活来,所以非常多的人选择拔掉智齿,有些智齿还未发炎的朋友在考虑应不应该拔掉智齿,那么,智齿一定要拔吗?不一定,今天小编给大家带来了不需要拔的智齿图片,为您解开这个疑惑。
智齿一定要拔吗

许多朋友到了长智齿的年龄,但是还没有遇到智齿发炎等情况,所以在考虑要不要先将智齿拔掉,避免一些疼痛发生,您可以对照这几张不需要拔的智齿图片来看看您是否有此情况,再由小编为您解答哪些情况不用拔智齿,看完您就知道您的智齿应不应该拔了。
不需要拔的智齿图片
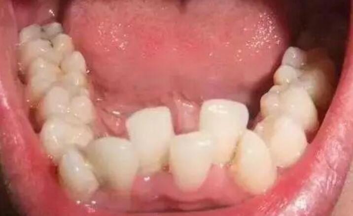
一、智齿形状正常,不是阻生牙

这种智齿形状看起来和其他牙齿没什么区别,与旁边的牙齿连接得比较正常,不会发生磨损等情况,不会损害到牙龈,并且可以正常进行咀嚼,那么这种智齿就跟普通的牙齿一样,对人口腔没有太大影响,是不需要拔的,大家可以放心进行饮食,不必担心智齿问题。
二、智齿形状正常,是阻生牙
