通常我们大家都知道,日常生活中很多人的牙齿都是黄黄的,不那么好看,所以很多人会选择冷光美白来美白牙齿,那么我们便了解一下冷光美白牙齿是全口吗?什么是牙齿冷光美白?
冷光美白牙齿是全口吗
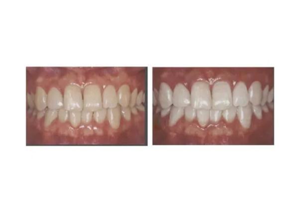
冷光美白牙齿一般是做全口的,但是如果求美者想要做两三颗也是可以的。一般通过做冷光美白牙齿可以较好的去除消费者牙齿上的牙菌斑以及牙结石,恢复之后可以使牙齿看起来更加的洁白,也能够提升口腔的健康程度,但是做了冷光美白牙齿之后,短期之内牙齿相对比较敏感一些,所以不要吃冰棍以及冷冻食物,以防引起不良反应。另外,在恢复的过程中以及平时的日常生活当中,要做好口腔的清洁工作,饭前饭后要漱口,每天早晚要刷牙。根据每个人的要求,有的人要做几颗牙齿也是可以的,经常吸烟或者是喝浓咖啡会导致牙齿变黄,可以到正规的医院进行冷光美白。

什么是牙齿冷光美白
牙齿冷光美白是通过特殊的冷光照射将涂在牙齿表面的美白药物渗透到牙齿组织中去并将美白剂凝固,从而达到美白的效果。适用于外源性色素牙(咖啡、茶渍、烟渍等沉积)、轻中度内源性色素牙(氟斑牙、四环素牙)、药物性变色牙及遗传性黄牙等。对重度氟斑牙和重度四环素牙有一定改善。冷光美白是让牙齿快速美白的方法,操作简单方便,一次完成,不损伤牙齿,但效果不能持久,有复发倾向,一般维持半年到两三年,一旦发现牙齿的颜色和光泽有所下降,可再次进行冷光美白的治疗。冷光美白前应洁治去除菌斑、牙石并进行牙面抛光,美白效果会更好。

冷光美白牙齿要多久时间
做牙齿美白普遍是需要半个小时左右的时间,这种时间主要是根据个人的牙齿具体情况。冷光牙齿美白技术是将波长介于480-520nanometer之间的高强度蓝光,经由光纤传导,通过两片30多层镀膜的特殊光学镜片,再经过特殊光学处理,隔除一切有害的紫外线和红外线,将过氧化氢和直径为20纳米的二氧化硅等为主体的美白剂,快速产生氧化还原作用。透过牙小管,去除牙齿表面及深层附着的色素,从而达到美白的效果。牙面消毒、干燥后,需在牙龈表面涂抹凡士林、石蜡油等,最好应用橡皮障,防止药物刺激软组织造成灼伤、肿痛等。冷光照射时间应在20-40秒内,不易过长,否则会激惹牙髓出现敏感症状。要将美白药物彻底冲洗去除,以免残留药物渗透进入牙齿内部造成酸痛。治疗结束一周内,避免吸烟、喝深色饮料等,防止牙面附着色素。